IMG_4873
2024年4月8日

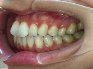
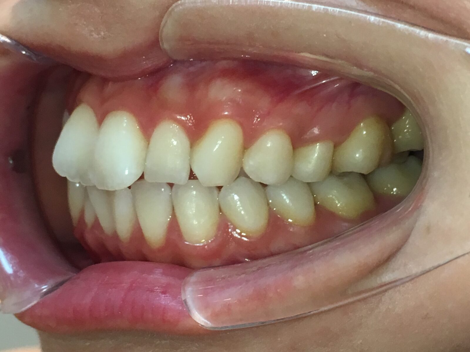
KM女初診時左側方
初診「個別」相談へのご案内
当院では、患者さんが抱えていらっしゃるお口のお悩みや疑問・不安などにお応えする機会を設けております。どんなことでも構いませんので、私たちにお話ししていただけたらと思います。
ご興味がある方は下記からお問い合わせください。
※自動音声でのご案内となります
- 「銀座一丁目」駅より徒歩2分
- 「京橋」駅より徒歩2分
- 「宝町駅」駅より徒歩5分
- 「銀座駅」駅より徒歩5分
- 「有楽町」駅より徒歩5分

〒104-0061
東京都中央区銀座1丁目8−1 銀座池田園ビル8F
| 診療時間 | 月 | 火 | 水 | 木 | 金 | 土 | 日 | 祝 |
|---|
| 午前の部 | 休診 | 11:00〜 13:00 | 11:00〜 13:00 | 11:00〜 13:00 | 11:00〜 15:00 | 10:00〜 13:00 | 〜
| 休診 |
|---|
| 午後の部 | 休診 | 15:00〜 20:00 | 15:00〜 20:00 | 14:30〜 19:00 | 休診 | 14:00〜 18:00 | 〜
| 休診 |
|---|