IMG_4872 (1)

お問い合わせ

03-6264-4151

※自動音声でのご案内となります。
 未成年の方や学生の方の診察はお断りしております。
 同伴者を伴ったご来院はご遠慮ください。
 営業のお電話は固くお断りします。

  • オンライン診療
  • WEB予約
キービジュアル

IMG_4872 (1)

2024年4月3日

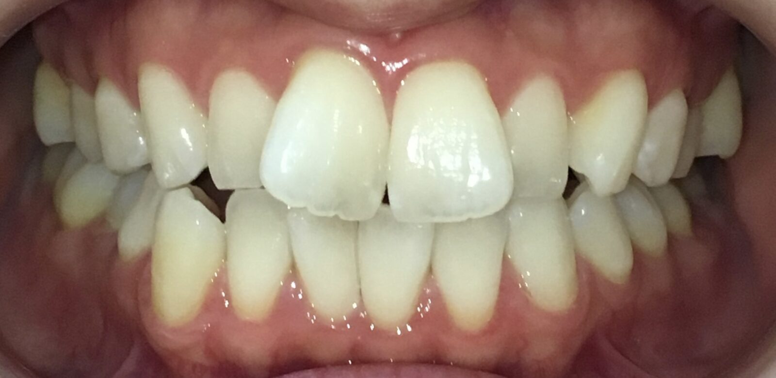
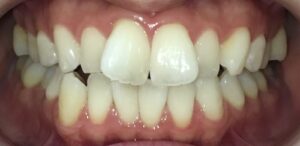
KM女初診時上下の正中の不一致上の前歯が出ていてガタガタ左の奥歯が噛みにくい

初診「個別」相談へのご案内

当院では、患者さんが抱えていらっしゃるお口のお悩みや疑問・不安などにお応えする機会を設けております。どんなことでも構いませんので、私たちにお話ししていただけたらと思います。
ご興味がある方は下記からお問い合わせください。

  • 03-6264-4151

※自動音声でのご案内となります

  • 「銀座一丁目」駅より徒歩2分
  • 「京橋」駅より徒歩2分
  • 「宝町駅」駅より徒歩5分
  • 「銀座駅」駅より徒歩5分
  • 「有楽町」駅より徒歩5分

〒104-0061
東京都中央区銀座1丁目8−1 銀座池田園ビル8F

診療時間
午前の部 休診 11:00〜
13:00
11:00〜
13:00
11:00〜
13:00
11:00〜
15:00
10:00〜
13:00

休診
午後の部 休診 15:00〜
20:00
15:00〜
20:00
14:30〜
19:00
休診 14:00〜
18:00

休診
  • 【休診】 日・月・祝

  • 日曜はオンラインのみ