2026年1月10日

【この記事の監修・執筆】デンタルサロン ナチュール銀座 院長 日髙 暁子(歯科医師)
目次
「以前に白く詰めたはずなのに、なんとなく違和感がある」
「しっかり磨いているつもりなのに、奥歯の状態が思わしくない」……。
そのような不安を抱えて、私のクリニックを訪れる患者さんは少なくありません。
先日、一眼レフカメラを用いた精密な記録撮影を行ったところ、
過去の不適切な「コンポジットレジン(プラスチックの詰め物)」が、
歯と歯肉に深刻なダメージを与えているケースがありました。
今回は、その具体的なリスクについてお話しします。
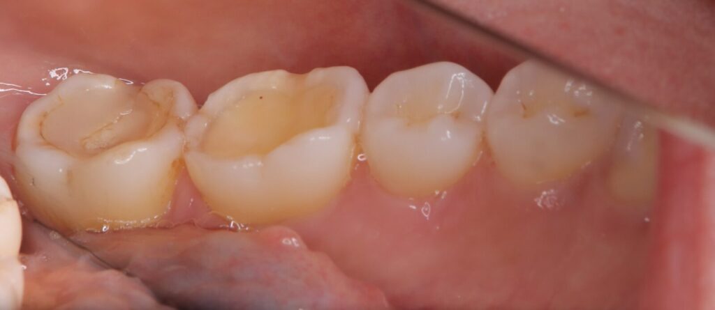
写真の2本の大きな奥歯(大臼歯)にご注目ください。
本来、奥歯には噛み合わせるための複雑な凸凹がありますが、
このケースでは平らにすり減ってしまっています。
原因:
過去の修復物における噛み合わせ調整の不備などにより、
特定の歯に過度な力がかかり続けた結果と考えられます。
リスク:
すり減りによって歯の内部にある「象牙質」が露出しています。
象牙質は外側のエナメル質よりも柔らかいため、
虫歯の進行が非常に早く、歯を失うリスクが急激に高まります。
一番左の奥歯(7番)の噛み合わせの面には、
白い詰め物が「つぎはぎ」のように何度も重ねられた形跡がありました。
問題点:
不適切なレジン修復を繰り返すと、
素材同士の間に微細な隙間(つなぎ目)が生じます。
結果:
この隙間はバクテリアの格好の棲家となり、内部で繁殖が進みます。
見た目が白くても、その裏側で
「二次カリエス(再発した虫歯)」
が進行していくという、非常に恐ろしい状態です。
さらに深刻なのは、歯の側面に見られる縦方向の
「破折線(ヒビ)」です。
細菌の侵入:
ヒビの内部にはすでにバクテリアが侵入し、黒く変色していました。
歯周組織への影響:
この部分の歯肉は赤く腫れ、歯周ポケットの深さは「5mm」に達していました。
これは中等度以上の歯周病が進行しているサインであり、
歯を支える骨が溶け始めている可能性を示唆しています。
私のクリニックでは、簡易的なカメラではなく、
一眼レフカメラによる精密な撮影を徹底しています。
肉眼や低解像度の画像では見えない
「修復物の微細な隙間」や「わずかな歯のヒビ」を
正確に捉えるためです。
「とりあえず詰める」という場当たり的な処置の積み重ねが、
結果として歯の寿命を縮めてしまう――。
その現実を、一人でも多くの方に知っていただきたいと考えています。
見た目の白さは、健康という土台の上に成り立つ「結果」に過ぎません。
不適切な材料や構造の限界を放置することは、
将来的な抜歯リスクを抱えることと同義です。
もし、ご自身の過去の治療に少しでも不安を感じたら、
一度ご相談ください。
ナチュール銀座で、あなたの歯の「本当の状態」を一緒に確認しましょう。
A. 素材の特性として、奥歯にかかる強い咬合力に耐えきれないためです。
A. 修理を重ねるほど「つなぎ目」が増え、バクテリアの温床になるからです。
A. はい。不適合な修復物は応力を集中させ、歯の破折を招くことがあります。
A. 段差に汚れが溜まり、歯周病を進行させる原因になるからです。
A. 科学的根拠に基づいた診断と、精密な適合を得られる修復を行うことです。
まずはカウンセリングでご相談ください。
初回オンラインは無料です(ホワイトニング相談・セカンドオピニオンは有料)。
ご来院による初回カウンセリングは有料となります。
カウンセリングのご予約はこちらから
当院では、患者さんが抱えていらっしゃるお口のお悩みや疑問・不安などにお応えする機会を設けております。どんなことでも構いませんので、私たちにお話ししていただけたらと思います。
ご興味がある方は下記からお問い合わせください。
※自動音声でのご案内となります

〒104-0061
東京都中央区銀座1丁目8−1 銀座池田園ビル8F
| 診療時間 | 月 | 火 | 水 | 木 | 金 | 土 | 日 | 祝 |
|---|---|---|---|---|---|---|---|---|
| 午前の部 | 休診 |
11:00〜 13:00 |
11:00〜 13:00 |
11:00〜 13:00 |
11:00〜 15:00 |
10:00〜 13:00 |
〜 |
休診 |
| 午後の部 | 休診 |
15:00〜 20:00 |
15:00〜 20:00 |
14:30〜 19:00 |
休診 |
14:00〜 18:00 |
〜 |
休診 |
【休診】 日・月・祝
日曜はオンラインのみ
©DENTAL SALON NATURE GINZA all right reserved.