2025年12月3日
肩こり・食いしばり・歯の痛み・詰め物の欠けは、
咬合バランスの乱れが原因のことがあります。
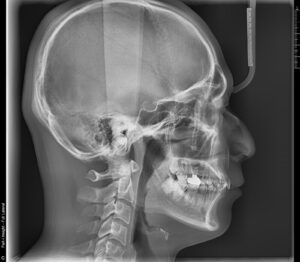
咬合(噛み合わせ)は単に歯だけの問題ではありません。姿勢や呼吸と深く繋がりがあります。

・噛み合わせの接触状態
・姿勢と骨格のバランス評価
・歯の動揺
・歯周病との関連
・矯正が必要かの評価
・噛む力の偏位(片噛み習慣など)

当院では、患者さんが抱えていらっしゃるお口のお悩みや疑問・不安などにお応えする機会を設けております。どんなことでも構いませんので、私たちにお話ししていただけたらと思います。
ご興味がある方は下記からお問い合わせください。
※自動音声でのご案内となります

〒104-0061
東京都中央区銀座1丁目8−1 銀座池田園ビル8F
| 診療時間 | 月 | 火 | 水 | 木 | 金 | 土 | 日 | 祝 |
|---|---|---|---|---|---|---|---|---|
| 午前の部 | 休診 |
11:00〜 13:00 |
11:00〜 13:00 |
11:00〜 13:00 |
11:00〜 15:00 |
10:00〜 13:00 |
〜 |
休診 |
| 午後の部 | 休診 |
15:00〜 20:00 |
15:00〜 20:00 |
14:30〜 19:00 |
休診 |
14:00〜 18:00 |
〜 |
休診 |
【休診】 日・月・祝
日曜はオンラインのみ
©DENTAL SALON NATURE GINZA all right reserved.