
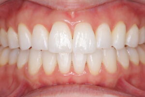
KM女術後インビザラインとリシェイピングホワイトニングで仕上げた症例非抜歯
正中もほぼ一致張り出た1番も並んでいる
初診「個別」相談へのご案内
当院では、患者さんが抱えていらっしゃるお口のお悩みや疑問・不安などにお応えする機会を設けております。どんなことでも構いませんので、私たちにお話ししていただけたらと思います。
ご興味がある方は下記からお問い合わせください。
※自動音声でのご案内となります
- 「銀座一丁目」駅より徒歩2分
- 「京橋」駅より徒歩2分
- 「宝町駅」駅より徒歩5分
- 「銀座駅」駅より徒歩5分
- 「有楽町」駅より徒歩5分

〒104-0061
東京都中央区銀座1丁目8−1 銀座池田園ビル8F
| 診療時間 | 月 | 火 | 水 | 木 | 金 | 土 | 日 | 祝 |
|---|
| 午前の部 | 休診 | 11:00〜 13:00 | 11:00〜 13:00 | 11:00〜 13:00 | 11:00〜 15:00 | 10:00〜 13:00 | 〜
| 休診 |
|---|
| 午後の部 | 休診 | 15:00〜 20:00 | 15:00〜 20:00 | 14:30〜 19:00 | 休診 | 14:00〜 18:00 | 〜
| 休診 |
|---|