症例紹介
矯正治療症例
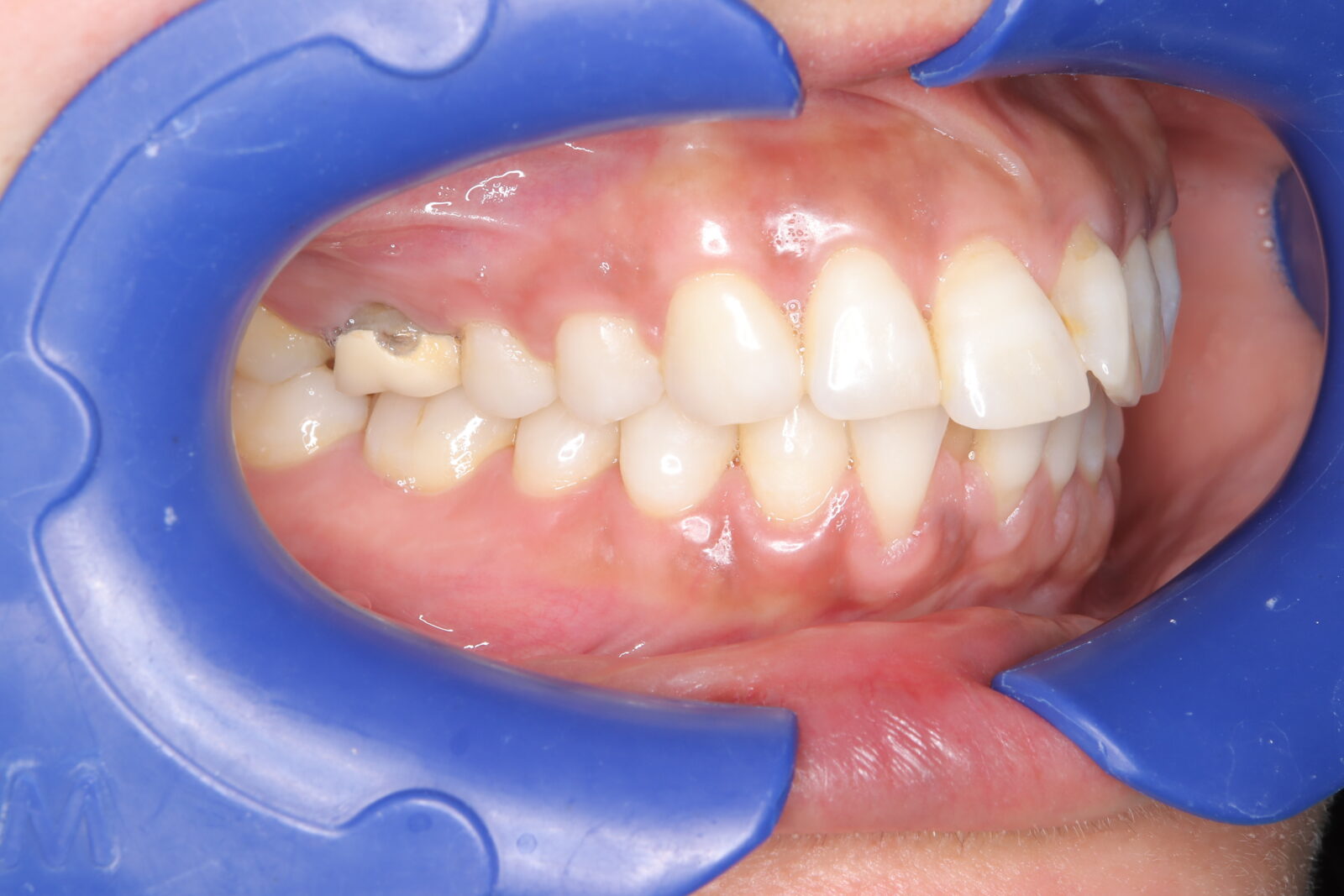
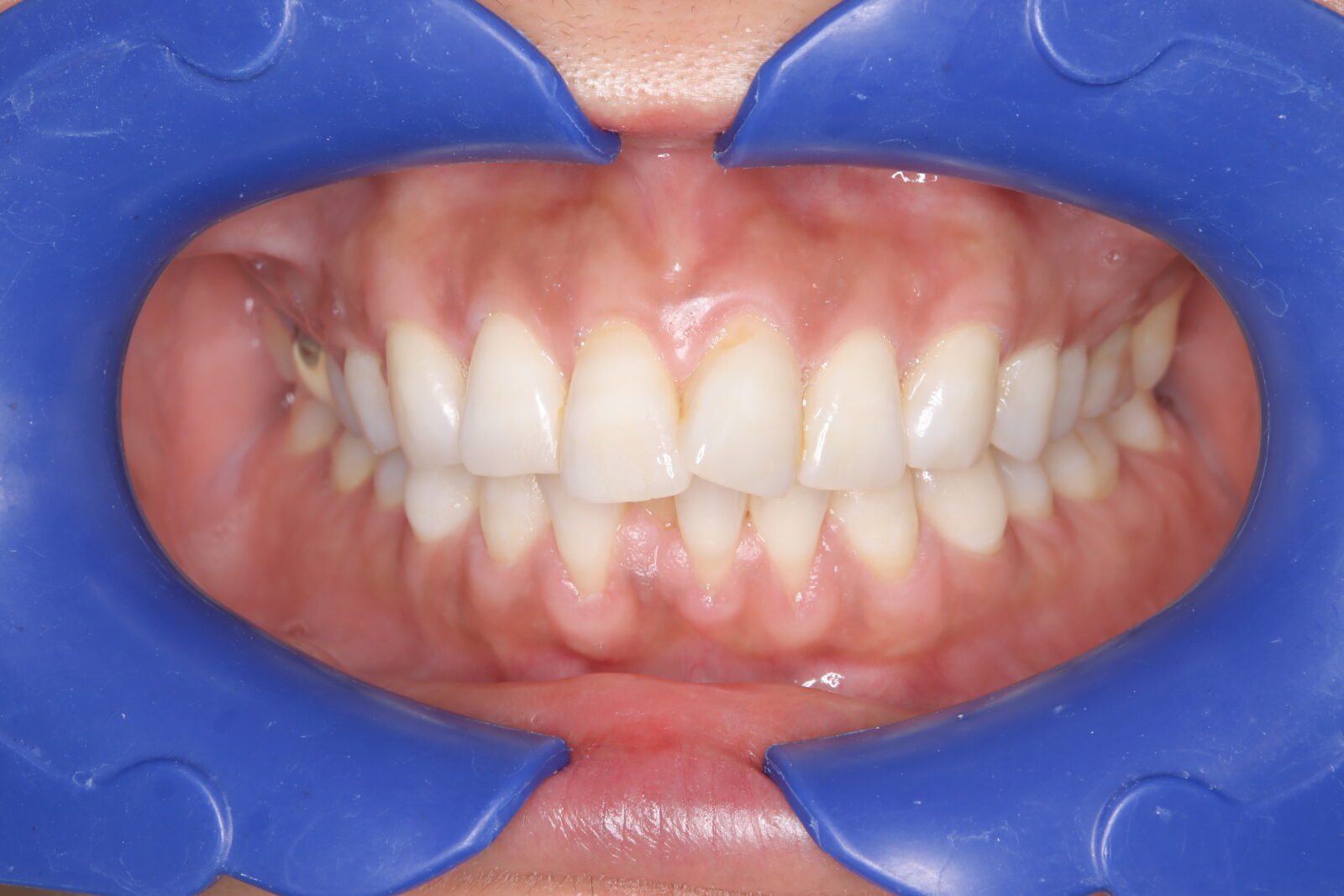
インビザライン(全体矯正)+ホワイトニングコースの症例
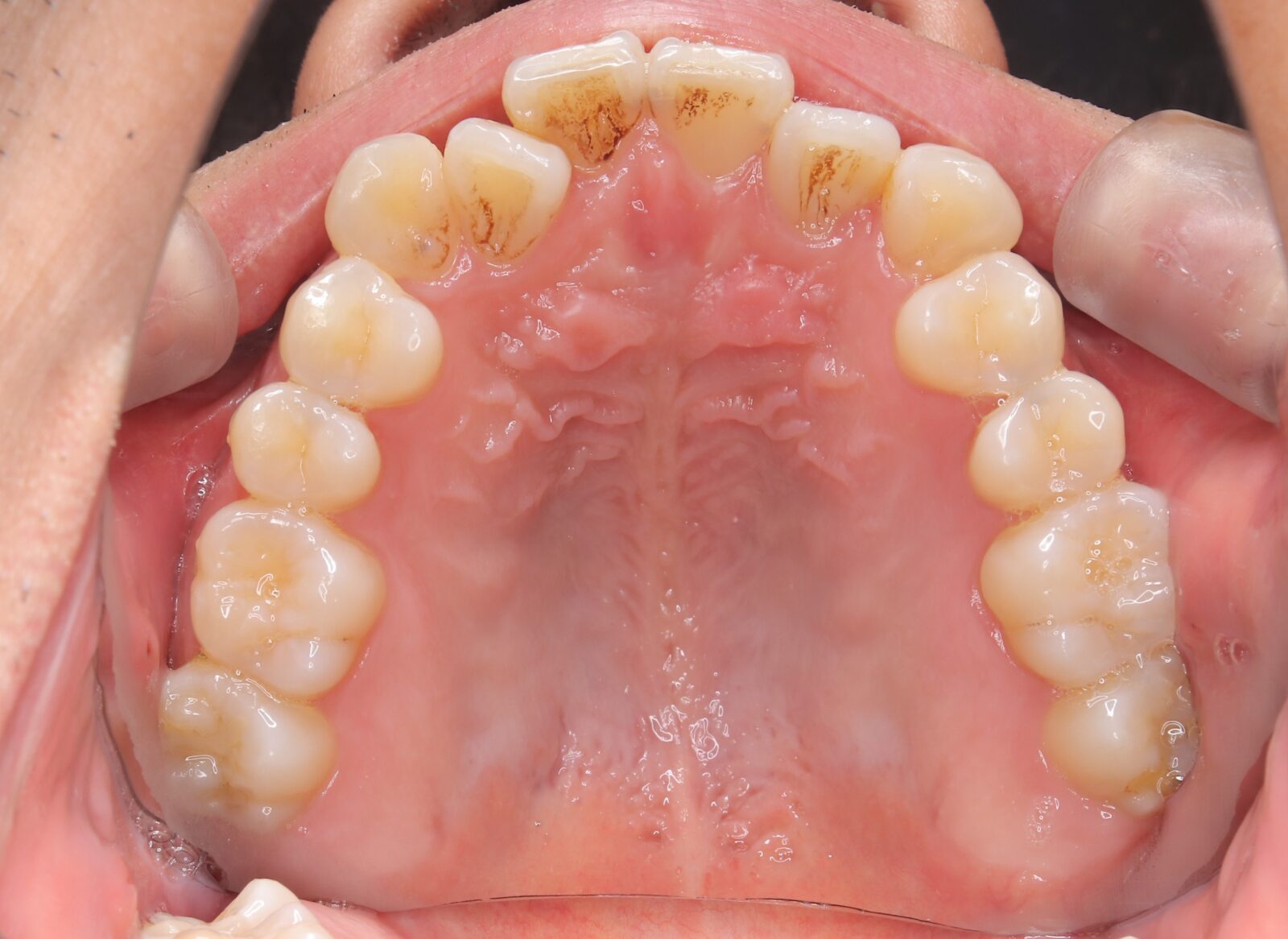
コンプレックスだった前歯の歪みと開咬(歯が閉じない状態)をインビザラインで美しく矯正。
・費用:935,000円(税込)
・治療期間:18ヶ月
・通院回数:18回
・32歳女性
-リスクと副作用-
・長時間マウスピースを装着するため、むし歯や歯周病のリスクがある。
・治療後はリテーナーを装着しないと後戻りしてしまうリスクがある。
・ホワイトニング剤の影響で知覚過敏が起こる可能性がある。色が徐々に戻る可能性がる。
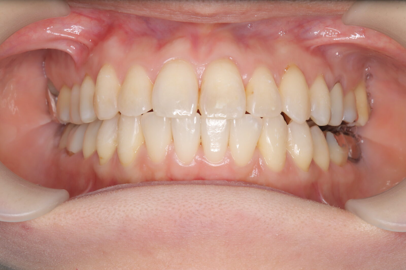
インビザライン(全体矯正)+ホワイトニングコースの症例
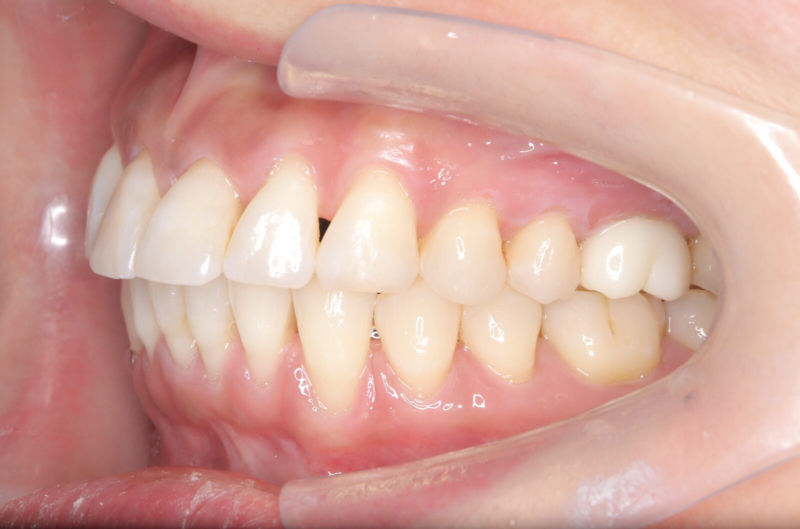
典型的な出っ歯だったが、インビザラインとホワイトニングでコンプレックスを改善。
・費用:935,000円(税込)
・治療期間:14ヶ月
・通院回数:14回
・34歳女性
-リスクと副作用-
・長時間マウスピースを装着するため、むし歯や歯周病のリスクがある。治療後はリテーナーを装着しないと後戻りしてしまうリスクがある。
・ホワイトニング剤の影響で知覚過敏が起こる可能性がある。色が徐々に戻る可能性がる。
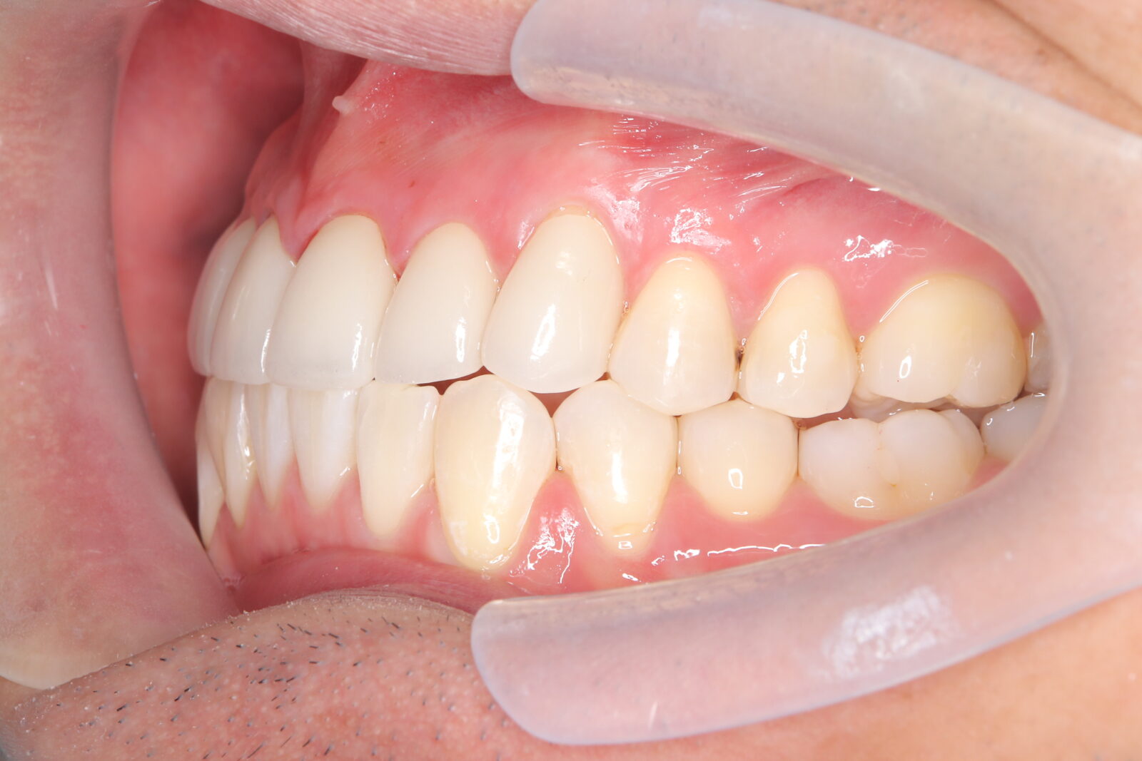
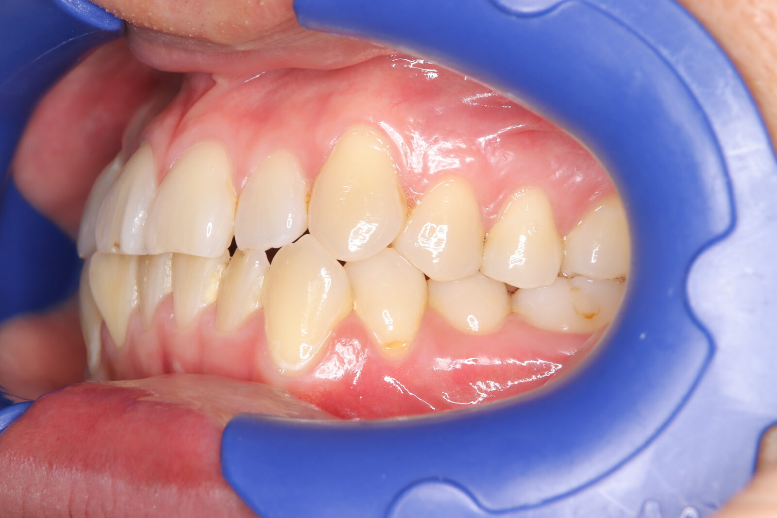
マウスピース矯正ローコスト(部分矯正)+ホームホワイトニングの症例
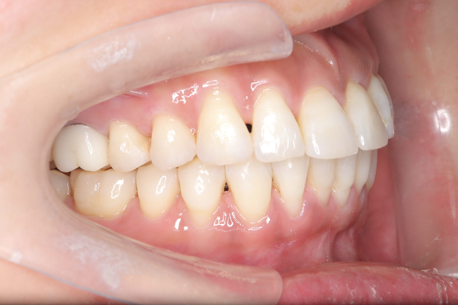
2本だけ出っ歯だったが、マウスピース矯正(部分矯正)で気になる部分を改善。
・費用:539,000円(税込)
・治療期間:13ヶ月
・通院回数:13回
・33歳女性
-リスクと副作用-
・長時間マウスピースを装着するため、むし歯や歯周病のリスクがある。治療後はリテーナーを装着しないと後戻りしてしまうリスクがある。
・ホワイトニング剤の影響で知覚過敏が起こる可能性がある。色が徐々に戻る可能性がる。
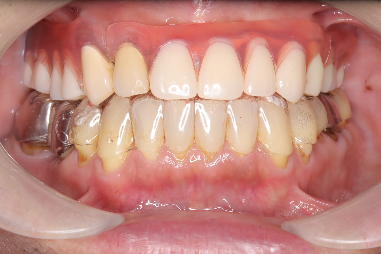
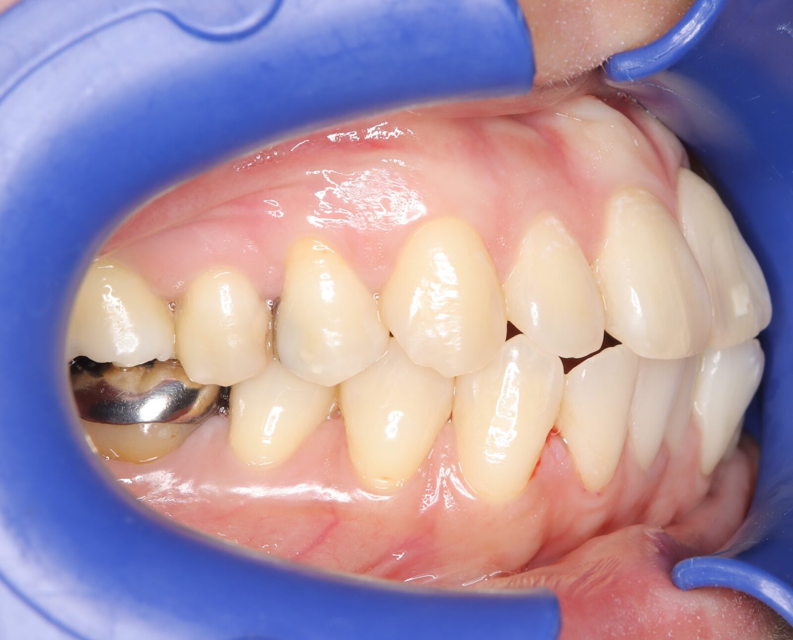
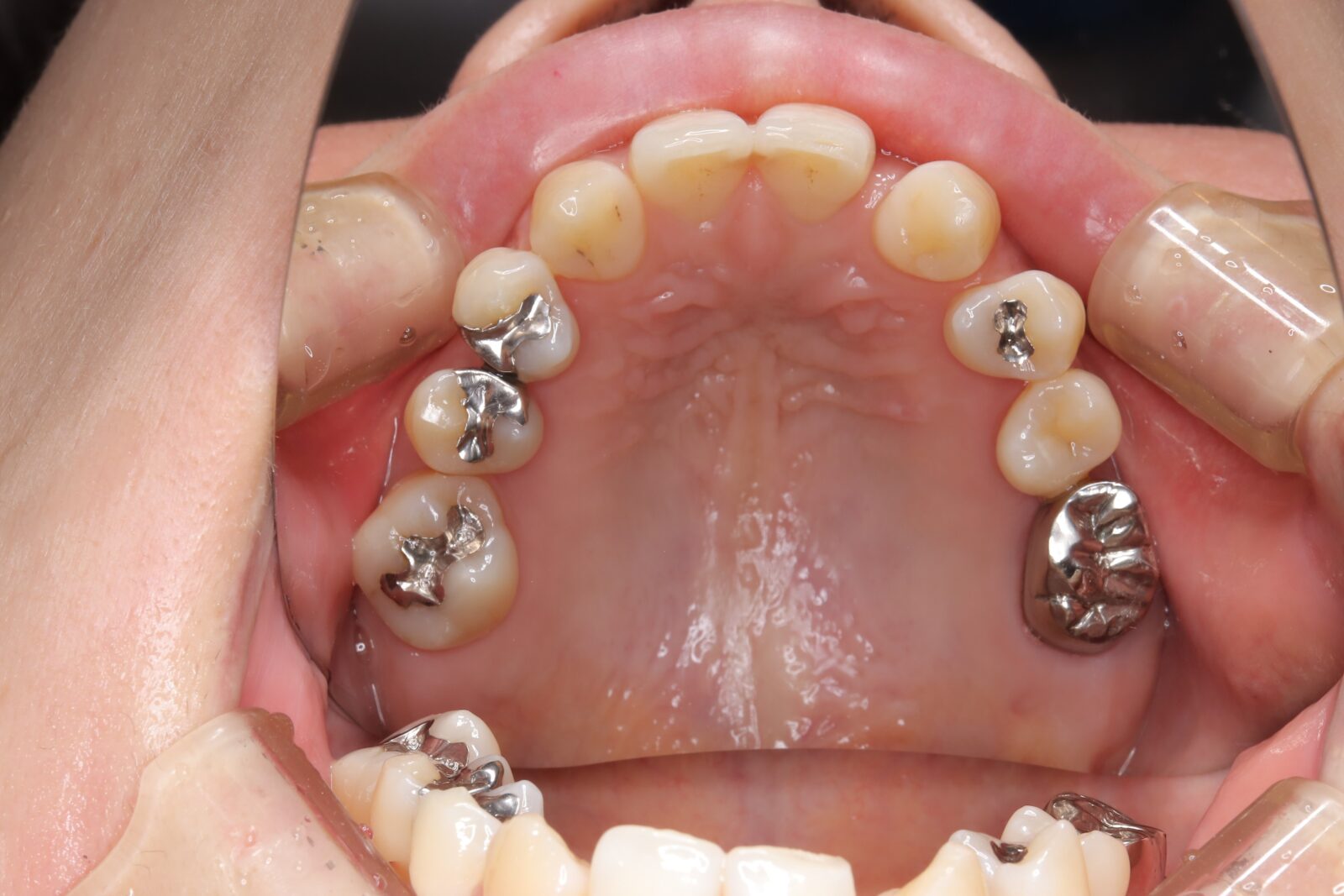
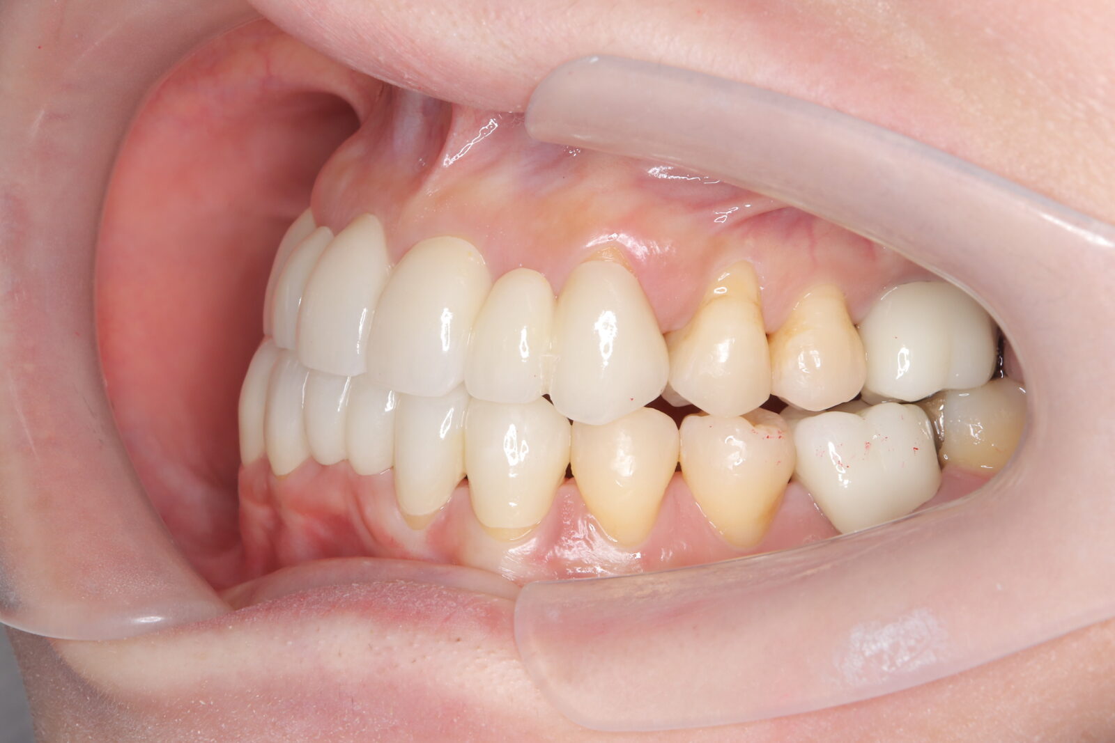
インビザライン(全体矯正)+ホワイトニングコースの症例
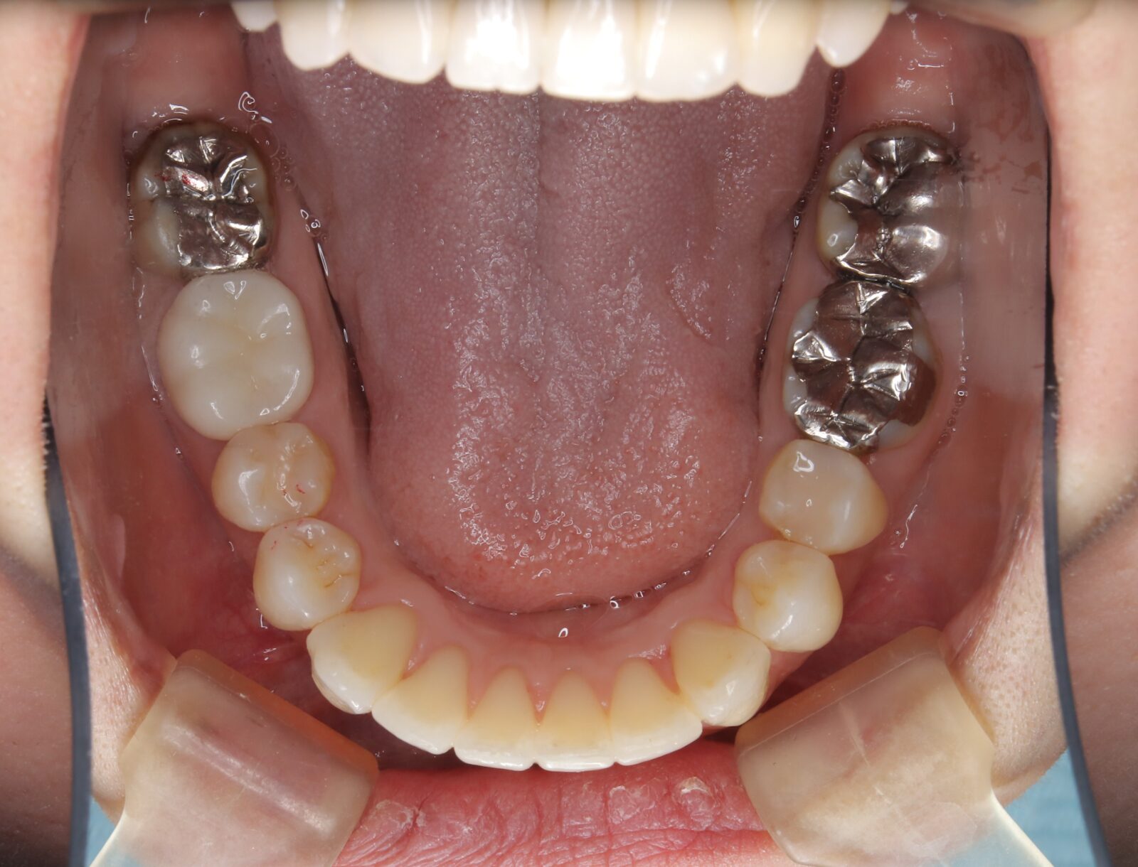
歯の裏に歯が隠れてしまっていたため、全体矯正(非抜歯+遠心移動)で美しく改善。
・費用:935,000円(税込)
・治療期間:30ヶ月
・通院回数:30回
・35歳女性
-リスクと副作用-
・長時間マウスピースを装着するため、むし歯や歯周病のリスクがある。治療後はリテーナーを装着しないと後戻りしてしまうリスクがある。
・ホワイトニング剤の影響で知覚過敏が起こる可能性がある。色が徐々に戻る可能性がる。
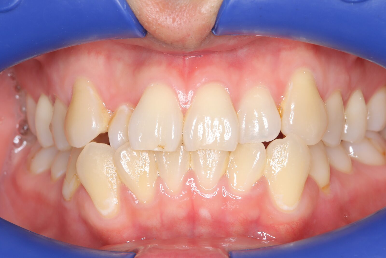
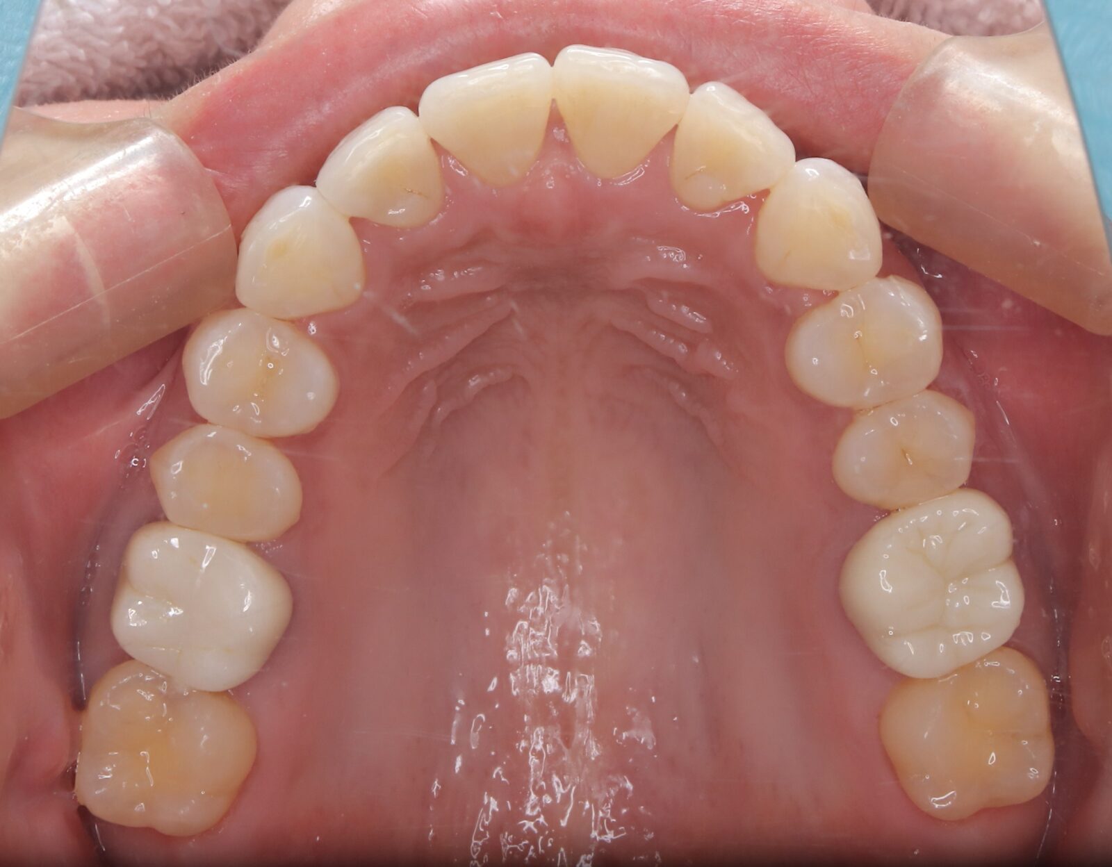
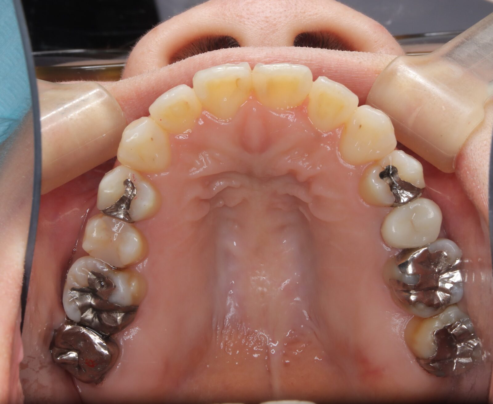
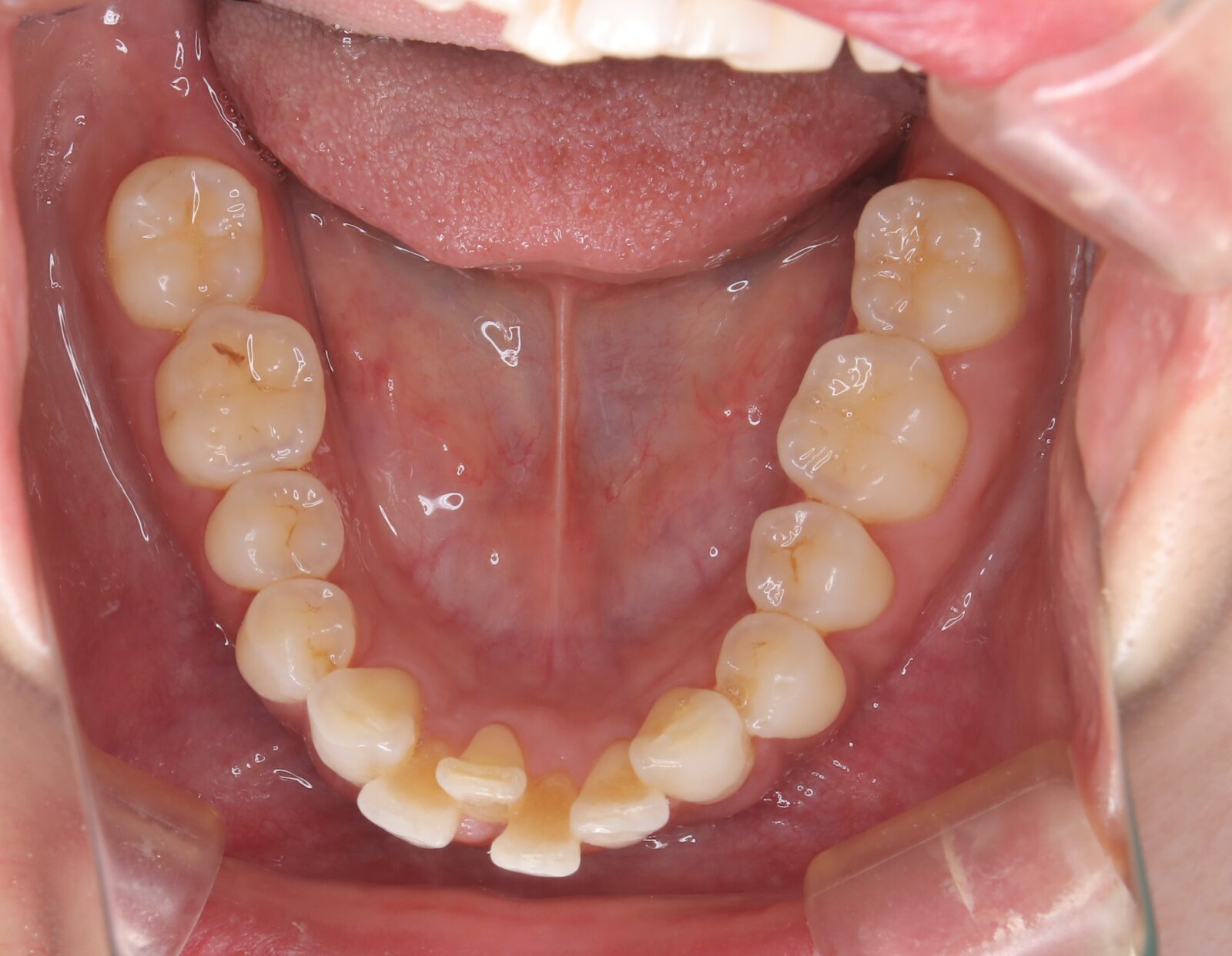
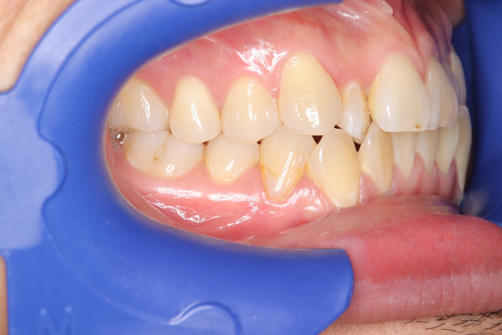
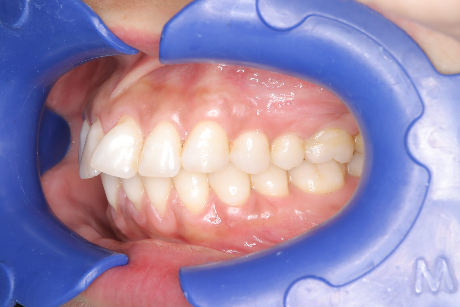
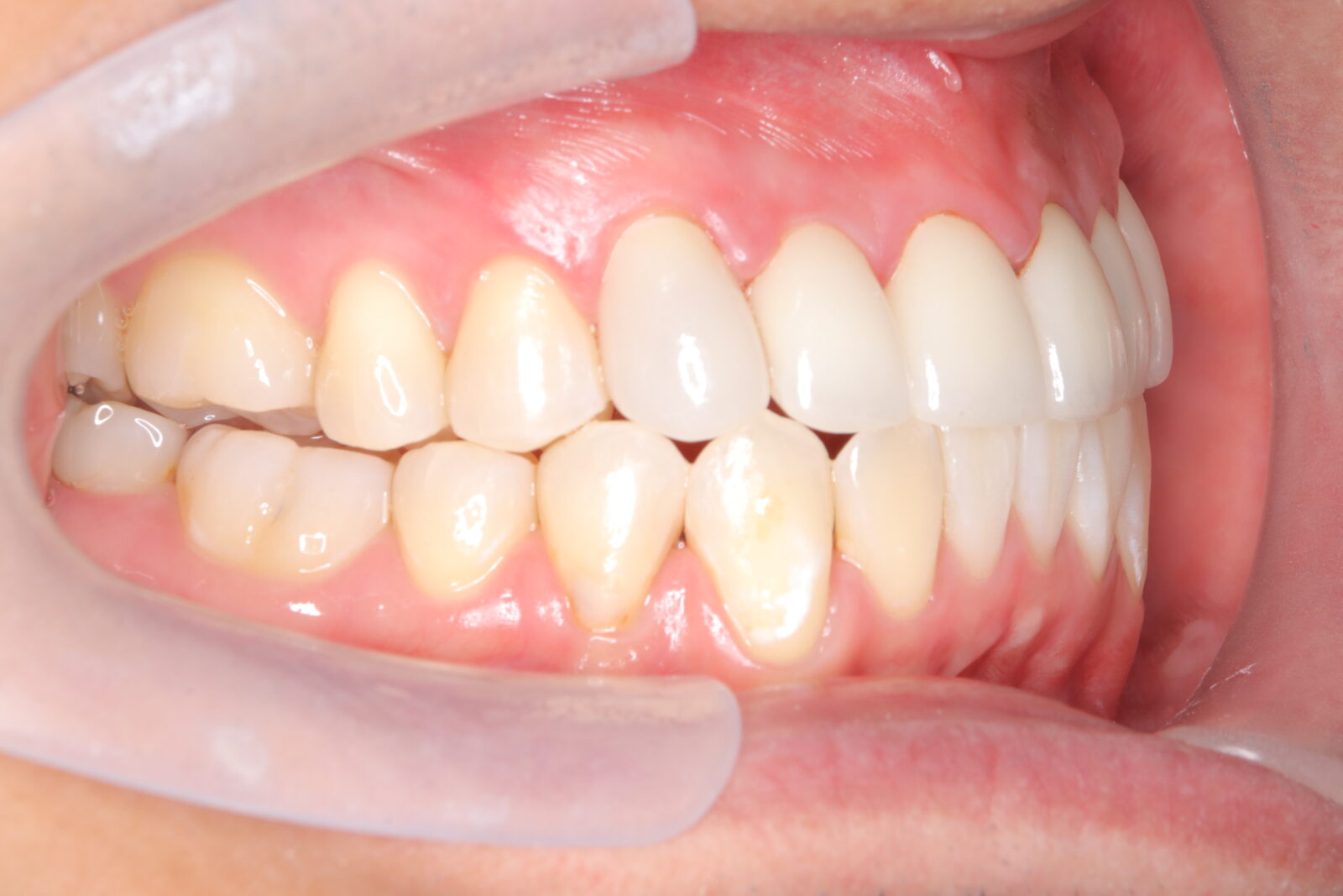
インビザライン(全体矯正)+ホワイトニングコースの症例
上下の前歯の歪みと奥歯のすれ違いをインビザライン(全体矯正)とホワイトニングで綺麗に矯正。
・費用:935,000円(税込)
・治療期間:30ヶ月
・通院回数:30回
・31歳女性
-リスクと副作用-
・長時間マウスピースを装着するため、むし歯や歯周病のリスクがある。治療後はリテーナーを装着しないと後戻りしてしまうリスクがある。
・ホワイトニング剤の影響で知覚過敏が起こる可能性がある。色が徐々に戻る可能性がる。
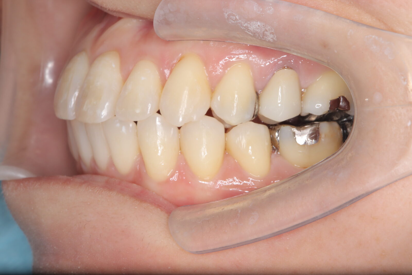
インビザライン(全体矯正)+ホワイトニングコース+セラミック治療の症例
過去にワイヤー矯正で治せなかったクロスバイト。インビザライン(全体矯正)とホワイトニングとセラミック治療で綺麗な笑顔へ。
・費用:726,000円(税込) ※ホームホワイトニングと右上6番ジルコニアクラウン含む
・治療期間:15ヶ月
・通院回数:10回
・32歳女性
-リスクと副作用-
・長時間マウスピースを装着するため、むし歯や歯周病のリスクがある。治療後はリテーナーを装着しないと後戻りしてしまうリスクがある。
・ホワイトニング剤の影響で知覚過敏が起こる可能性がある。色が徐々に戻る可能性がる。
・セラミック:過度な衝撃によって割れることがある。
矯正後戻りを改善したキレイライン5回の症例
過去に他院でワイヤー矯正を行ったが後戻りしてしまった歯並びを改善。
・費用:230,000円(税込)
・治療期間:3ヶ月
・通院回数:4回
・27歳女性
・オプション:小臼歯の虫歯治療3本、IPR
-リスクと副作用-
・長時間マウスピースを装着するため、むし歯や歯周病のリスクがある。治療後はリテーナーを装着しないと後戻りしてしまうリスクがある。
・短期間で終了させると奥歯の噛み合わせや、全体のバランスが整わないことがある。
矯正後にGCトランスクリア5回で下顎のみ追加で修正した治療の症例
キレイライン5回終了時に、右下2番3番の向きを修正したいとご希望があり、GCトランスクリア5回を実施しご要望に応える。
・費用:142,230円(税込) ※ナチュール銀座リピート割適応
・治療期間:3ヶ月
・通院回数:10回
・27歳女性
・オプション:IPR 、上顎リテーナー2回作成(同一マウスピースの長期使用、歯列のバランス不良起因の正中へ応力集中による破損のため)、上顎8番抜歯、う蝕多数のため唾液検査
-リスクと副作用-
・長時間マウスピースを装着するため、むし歯や歯周病のリスクがある。治療後はリテーナーを装着しないと後戻りしてしまうリスクがある。
・短期間で終了させると奥歯の噛み合わせや、全体のバランスが整わないことがある。
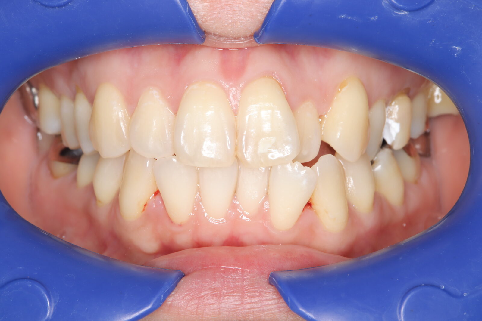
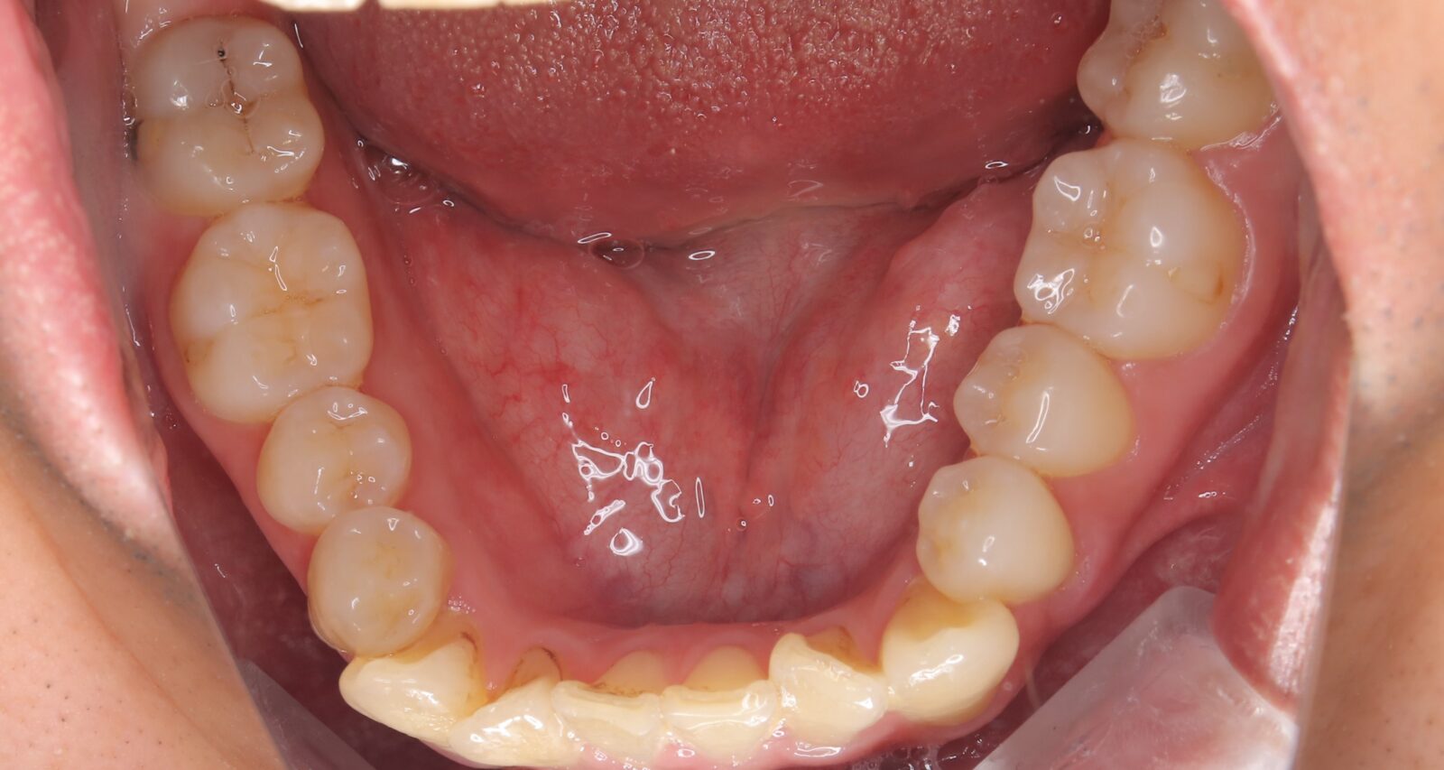
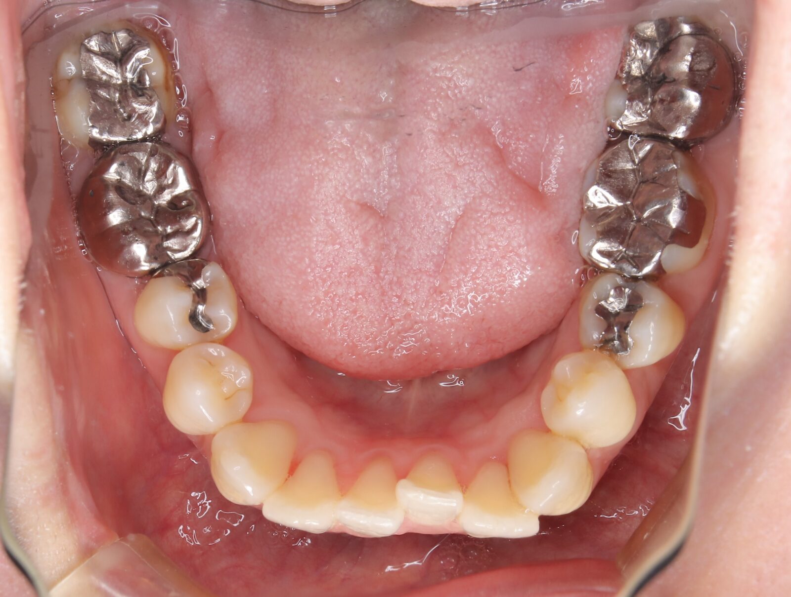
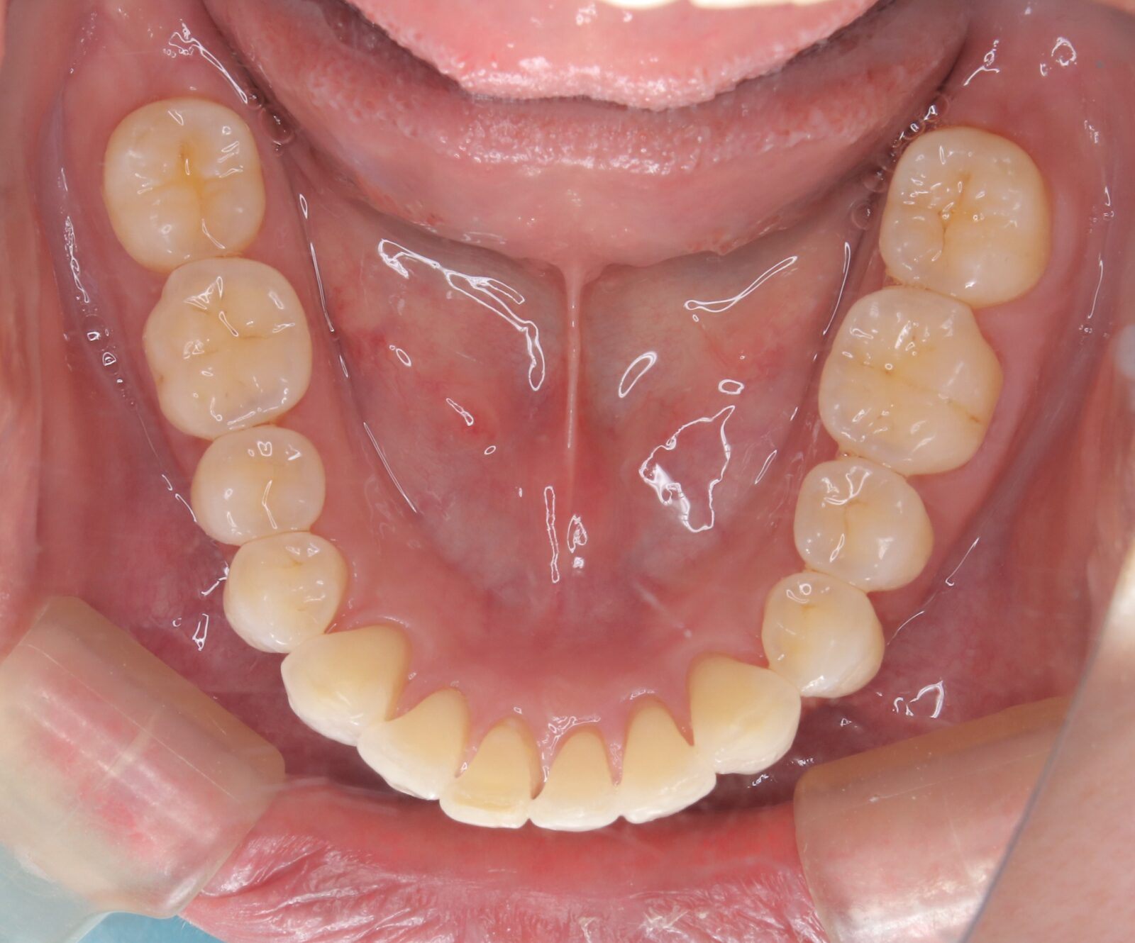
リテーナー不使用と、定期メンテナンス通院中止による後戻りの改善の症例
正中も揃った。ワイヤー矯正前の歯列は前歯が出ていたとのこと。
上顎前歯の唇側の骨の厚みを確保すると安定してくるが、側方への外力をコントロールし、適度な垂直圧が維持される必要がある。
舌癖や、舌のポジションを含む習癖や習慣的な体の使い方の工夫が必須。
コンパクトな費用のプランを選択されたため出来なかったが、本当は6番、7番も微修正したいところ。
主訴は前歯だったが、小臼歯まで移動範囲に加えてバランスを整えていった。
定期メンテナンスの際に姿勢を含む習癖の改善のアプローチを行なった。
初診時と比較し、自然と骨格のズレも修正されていった。
首の歪みも確認できるようになった。
過去、非抜歯ワイヤー矯正をしたが、リテーナー不使用等による後戻りを改善したいとの要望に応える。
・費用:456,500円(税込) ※リテーナー別途
・治療期間:7ヶ月 (ステージ数:上顎9、下顎13+追加アライナー上顎9、下顎11)
・使用装置:インビザラインGO
・女性
・オプション:エアフロー
-リスクと副作用-
・長時間マウスピースを装着するため、むし歯や歯周病のリスクがある。治療後はリテーナーを装着しないと後戻りしてしまうリスクがある。
・短期間で終了させると奥歯の噛み合わせや、全体のバランスが整わないことがある。
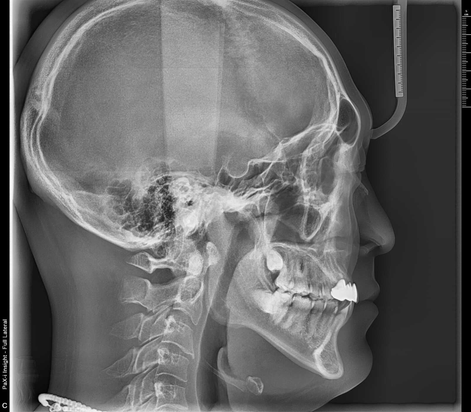
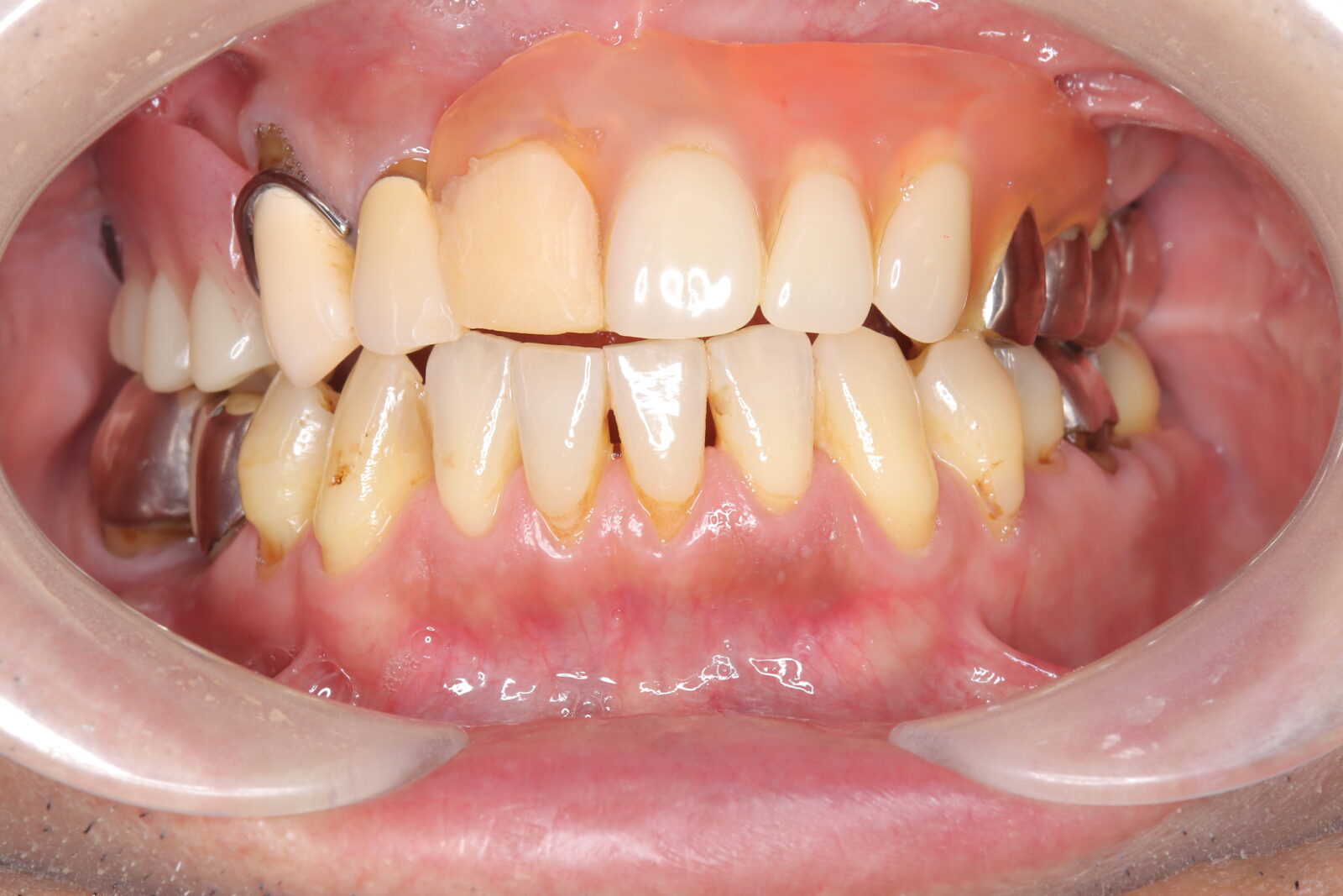
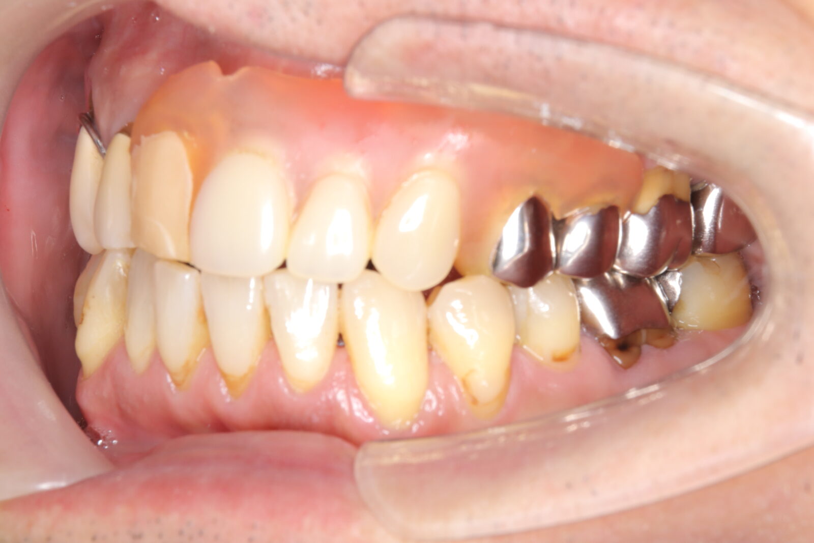
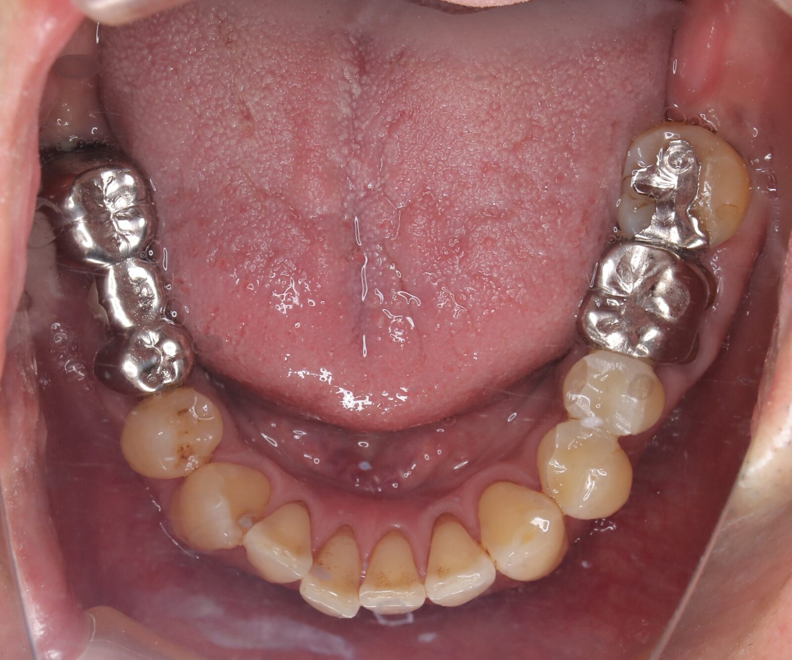
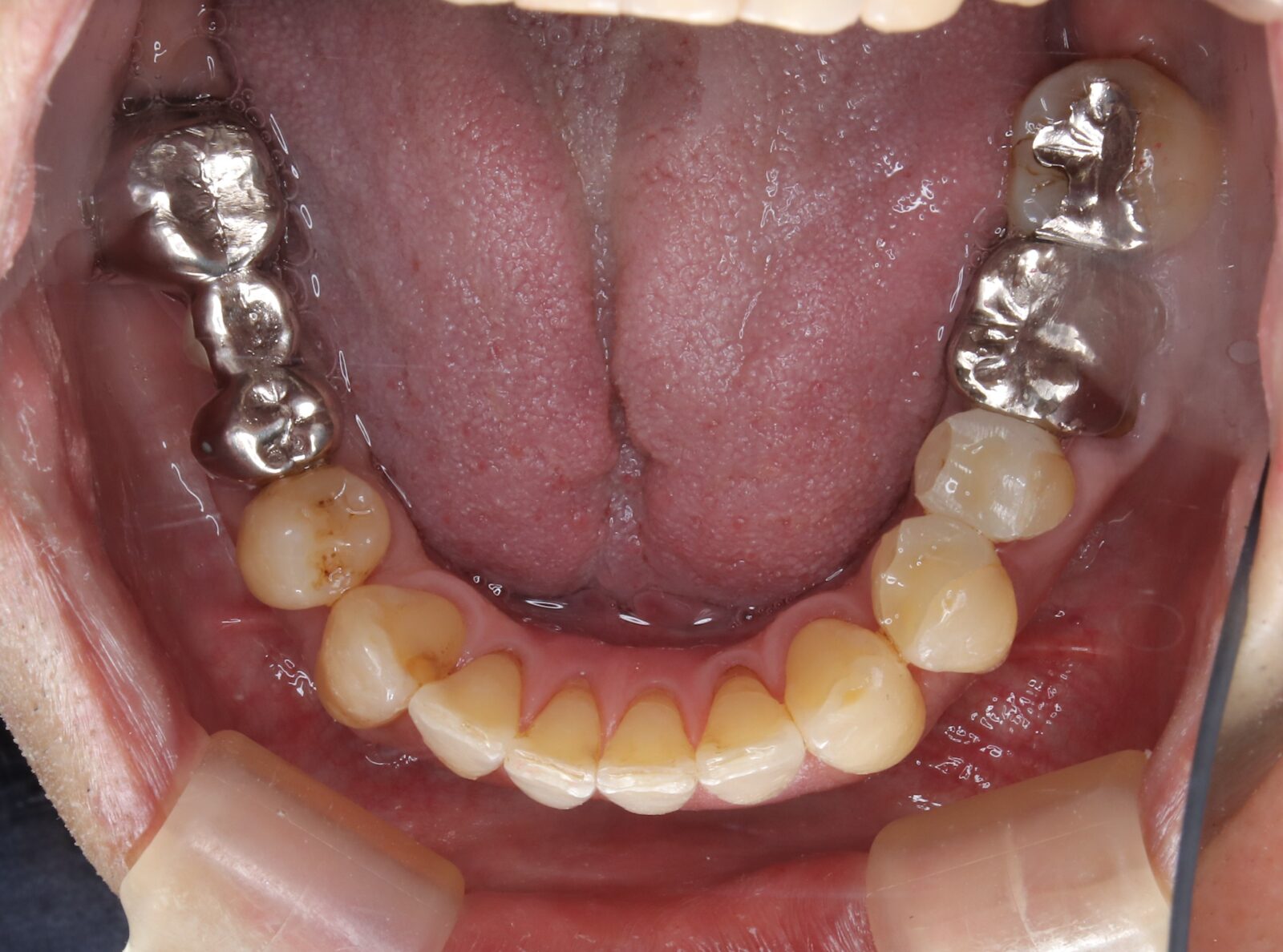
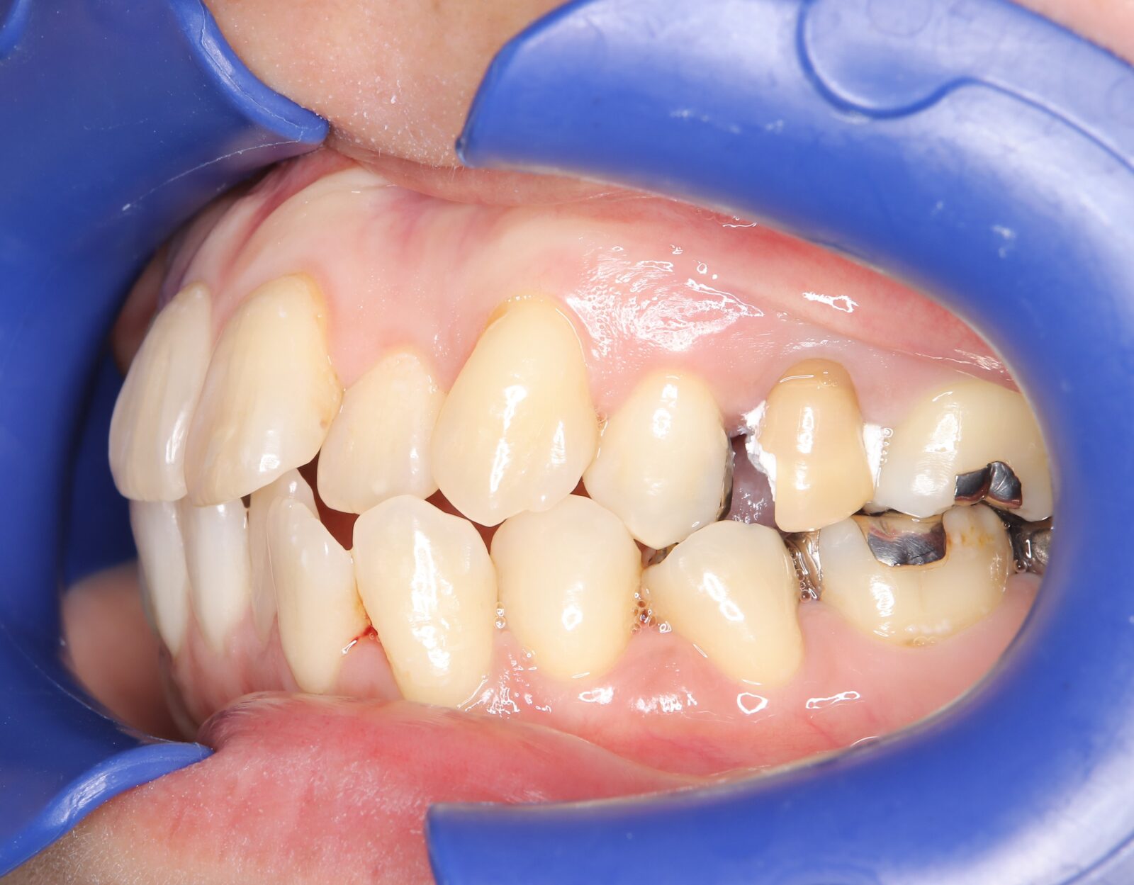
矯正と補綴が必要で実施した症例
左側に隙間。歯の数が少ない。もともと2番と7番がない。(先天欠如)歯の数が少ないため上顎のアーチ全体が小さい。歯槽骨の幅も狭く、歯肉も薄い。骨質も弱かった。
上顎左右2番と6番が先天欠如。下顎左右1番も先天欠如でもともとブリッジが装着されていた。
左右非対称なすきっ歯。上顎の前歯がないので左側の隙間を左右2番相当部に集めた。
上下の前歯が反対の噛み合わせ(受け口)で、干渉しているためうまく閉じることができず、奥歯は左右同時に噛めないので、どこかにずらさないと口を閉じられない。
左右の歯を同時に合わせることができず、どこで噛んだら良いかわからない噛み合わせでした。
小臼歯部は噛み合うことがない側方の開口状態。矯正と補綴が必要なケース。 主訴は顎の不調と歯軋り、夜間の食いしばり。
マルチブラケットとインビザラインを併用し、クラウンとブリッジを装着しました。
上顎左右2番は、歯が入るスペースを作り、ブリッジを装着しました。
他の歯医者で何軒も断られていました。 骨の幅がうすくインプラントはできない。骨の質も柔らかい。PCR検査の結果も歯周病ハイリスク患者でした。
歯の位置は、本人の顎が安定する場所を探して着地した。 左右で噛み合わせが非対称で、理想的な歯のポジションを獲得できなかったものの、左右同時に噛むことができるようになった。
顎関節の症状も落ち着いて、開口障害や、顎の痛みは無くなった。
矯正治療はどの装置を選択しても歯周病のリスクを高めてしまう。
これ以上の歯の移動が歯周病と骨質、骨の代謝のバランスの兼ね合いで困難であると判断し、ここが着地点とした。
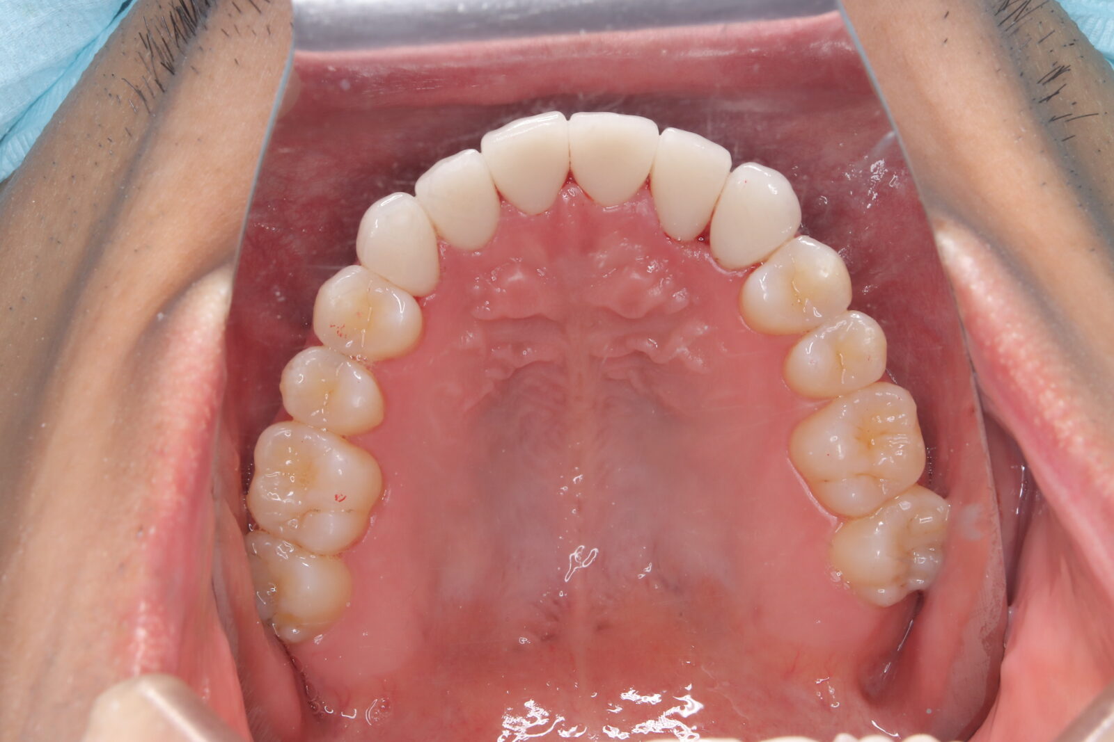
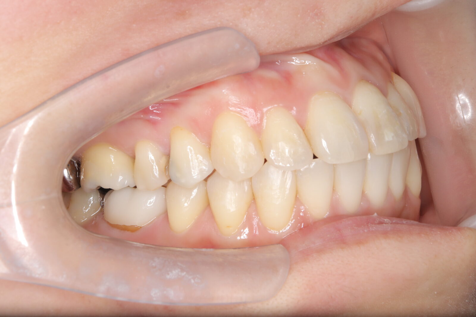
職業柄抜歯をすることができない患者様の症例
職業柄抜歯をすることができないため、小臼歯も親知らずも非抜歯の矯正となりました。 それでは歯を並べるためのスペースを確保できない。歯根の形状を分析し、可能な限り歯冠修復で前歯のサイズを小さくして、歯を動かすためのスペースを作り矯正をスタートした。 下顎前歯歯並びきれないこと、理想的な噛み合わせの獲得は難しいことをご理解いただき治療スタートした。 終了時に初期時の不自由がないことを確認済み。
補綴+マウスピース矯正+ホワイトニングの症例
主訴:左上の奥歯が欠けた(40代女性)
臼歯部と前歯のクロスバイト。左右の顎の動きは制限されていた。
口腔顔貌精密検査、
精密根管治療、(仮歯+ファイバーコア+ジルコニアクラウン)×2本、インビザラインフル+補助装置、リテーナー
140万円(税別)
別途:デュアルホワイトニング、歯周初期治療、定期メンテナンス
期間:2年
インビザライン+補綴の症例
主訴:口臭と歯並び 40代女性
歯周病PCR検査、歯周病+口臭精密検査、歯周病治療、インビザライン、シルコニアクラウン2本
途中怪我で通院中断7ヶ月を含め治療期間 1年10ヶ月
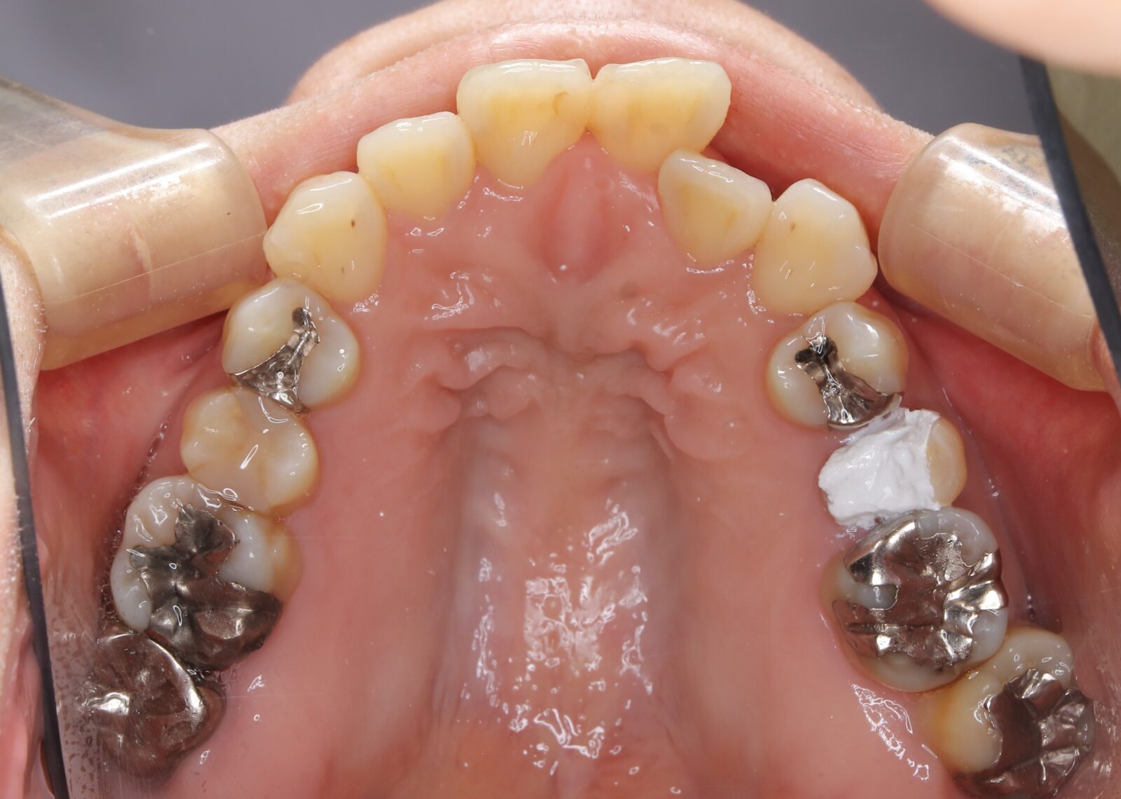
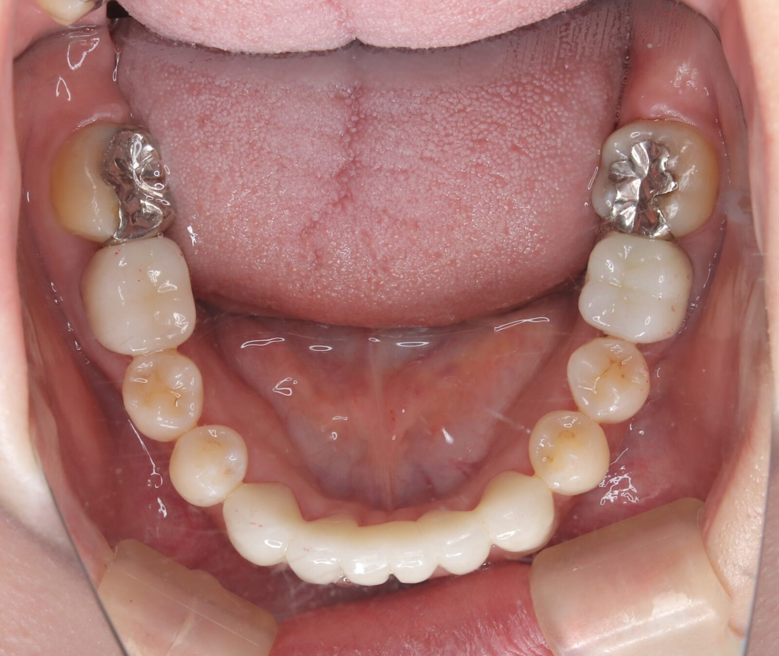
デンチャー+補綴+マウスピース矯正の症例
左上4〜7番に虫歯。右の親知らずの歯周ポケットは10mmあったため抜歯した。
左上6番の遠心は虫歯の範囲が大きすぎたため抜歯。義歯の安定を考慮すると、左上臼歯部をブリッジにするよりも、両側に義歯の人工歯を配置する方が良いと判断した。
本人の希望で薄く、口蓋を覆わない設計とした。
下顎前歯は抜歯後の治癒待ち、左上の虫歯治療中にインビザラインで歯列を整えた。
義歯作成期間中も歯の移動を行い、最終的には、計画通りに上顎の新義歯装着と同時に下顎のリテーナーを装着できた。
スマイルデンチャー
ジルコニアクラウン
インビザライン
治療期間約5ヶ月


























































